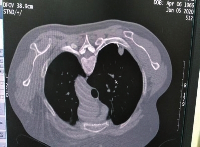
日前,市中心医院肿瘤四病区在放射科团队的配合下,成功为一女性患者行CT引导下经皮肺穿刺活检术。与往常此类手术所不同的是,本次手术采用了该院章永医师所研制出的拥有一项自制带角度定位栅栏在CT引导下经皮肺穿刺活检技术的应用的新技术,让穿刺位点不易进针的难题迎刃而解。
家住咸安青龙巷的金女士因宫颈癌,在武汉协和医院行规范治疗近一年后,于今年4月复查发现右肺上叶后段结节,性质待定。考虑到金大姐肺部结节较小,不到1cm,并且所处位置靠肩胛骨位置,想取活检明确病理难度极其高,武汉专家建议定期复查。由于病因尚不明确,金女士担心肿瘤复发,延误治疗,心情非常沉重且焦虑不安。
今年5月,在病友介绍下,金女士专程来到市中心医院,找到该院肿瘤科主任舒诚荣和章永医师,希望能得到两位医师的帮助。为了解除金大姐这块心病,两位医师在仔细阅片后,决定尝试使用自制带角度定位栅栏在CT引导下采取非共面经皮肺穿刺活检。
经过科室同心协力进行肺穿刺活检后,最终明确肺部肿块考虑宫颈恶性肿瘤肺部转移。获悉诊断明确后,金女士心情明显释然,得到病理后,医生建议目前肺部病灶较小,确诊及时,应尽早干预。经与金女士家属患者充分沟通,在征得金女士本人同意后,为其进行2周期化疗联合免疫治疗后复查肺部病灶较前明显缩小。
目前,金女士心情总算放松了很多,并感谢肿瘤四病区全体医护人员,特别感谢章永医师全心全力行肺部活检穿刺尽早给出明确病理诊断,目前金女士正在接受后续抗肿瘤治疗。
据市中心医院章永医师介绍,近年来,随着肿瘤患者增多,以及医院肿瘤科学科发展需要,2020年4月市中心医院肿瘤科成立肿瘤四病区,主要开展以肺癌,头颈部肿瘤等为主的同步放化疗、分子靶向治疗以及免疫治疗,并能开展多项穿刺活检技术,CT引导下经皮肺穿刺活检术、B超引导下淋巴结穿刺活检术等。
其中,该科所拥有的自制带角度定位栅栏在CT引导下经皮肺穿刺活检技术,是章永医师自行研发的一项新的应用技术,目前。该技术适用于肺部有病变的患者,如肿块,结节,软组织病变的患者,通过边做CT,并在自制带角度定位栅栏定位下,使得以往不易确定进针部位,能够精准确定肺部肿块进针穿刺位点,进行穿刺活检,取得肿块组织,送病理科行病理诊断,明确病变性质。
舒诚荣主任介绍,肿瘤科四病区医生在胸部肿瘤以及头颈部肿瘤领域有独特的治疗经验和造诣,擅长肺部、纵隔、胸膜等胸部恶性肿瘤的化学治疗、靶向治疗以及免疫治疗,同时开展恶性胸腹腔积液和心包积液等晚期肿瘤患者的治疗。并有针对性的对患者行CT引导下肺部肿瘤穿刺活检,进行基因检测,开展精准医疗。尤其是肺癌我们与外科协作开展了术前新辅助化疗,术后辅助化疗及生物靶向治疗、免疫治疗相结合,为患者谋取最大治疗获益。
另外在头颈部肿瘤方面,全面开展以鼻咽、口咽、下咽、喉、口腔及脑瘤、脑转移瘤等疾病的放疗、化疗、生物治疗技术的综合治疗。这两个领域的治疗技术水平已经接近省内领先地位。他们在诊治癌症同时又注重肿瘤病人营养与支持治疗领域,针对晚期肿瘤营养不良及恶液质进行筛查评分,给予对症干预治疗,在肿瘤病人营养支持治疗方面积累了一定的临床经验。
此外,随着医疗技术的发展,多学科协作,整合各科室医疗资源,开展MDT ,为患者提供规范的个体化综合治疗,在2019年以及2020年连续两年度,在舒诚荣主任牵头下,以章永医生主导的肿瘤学MDT团队在省内比赛中多次荣获奖项。
专家简介
舒诚荣
肿瘤科主任、主任医师、临床医学硕士
现任湖北省医学会放射肿瘤分会委员,湖北省抗癌协会理事,湖北省抗癌协会放射肿瘤专委会、食管癌专委会及肿瘤内科专委会常委,咸宁市医学会肿瘤学分会主委。曾先后余1993年、2003年、2012年分别在湖北省肿瘤医院、武汉协和医院、福建省肿瘤医院进修学习。2004-2007年在华中科技大学同济医学院攻读肿瘤学研究生,师从武汉协和医院伍钢教授。
从事肿瘤临床工作近30年,能熟练开展各种肿瘤的三维适形放疗、适形调强放疗。并能规范化运用化疗、内分泌治疗、分子靶向治疗等进行肿瘤的综合治疗。承担省卫计委课题一项,发表国家级论文18篇。
章永
咸宁市中心医院肿瘤科IV病区 副主任医师
现任湖北省抗癌协会肿瘤热疗专业委员会常务委员,湖北省临床肿瘤学会肺癌专家委员会委员,湖北省临床肿瘤学会(ESCO)脑胶质瘤专家委员会委员,湖北省微循环学会肿瘤专业委员会委员,咸宁市医学会肿瘤学分会委员会委员。曾先后于2017年,2018年分别在武汉协和医院以及湖北省人民医院进修学习,师从湖北省人民医院戈伟教授。从事肿瘤科工作近10余年,能熟练开展肿瘤的内科治疗以及肺部肿瘤,头颈部肿瘤的适形放疗及调强放疗。在院内积极开展肺部肿瘤肿瘤MDT多学科合作,在CT引导下及B超引导下的经皮肺穿有较深造诣。








